Digital Database for Screening Mammography

Volume: cancer_09 Case: B-3403-1


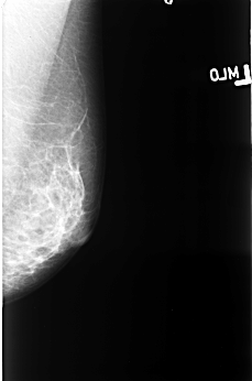
B_3403_1.RIGHT_MLO

B_3403_1.LEFT_MLO

B_3403_1.RIGHT_CC

B_3403_1.LEFT_CC

ics_version 1.0
filename B-3403-1
DATE_OF_STUDY 21 4 1994
PATIENT_AGE 43
FILM
FILM_TYPE REGULAR
DENSITY 3
DATE_DIGITIZED 27 10 1998
DIGITIZER LUMISYS LASER
SEQUENCE
LEFT_CC LINES 4584 PIXELS_PER_LINE 2968 BITS_PER_PIXEL 12 RESOLUTION 50 NON_OVERLAY
LEFT_MLO LINES 4496 PIXELS_PER_LINE 2968 BITS_PER_PIXEL 12 RESOLUTION 50 NON_OVERLAY
RIGHT_CC LINES 4448 PIXELS_PER_LINE 2976 BITS_PER_PIXEL 12 RESOLUTION 50 OVERLAY
RIGHT_MLO LINES 4488 PIXELS_PER_LINE 2944 BITS_PER_PIXEL 12 RESOLUTION 50 OVERLAY

FILE: B_3403_1.RIGHT_MLO.OVERLAY

TOTAL_ABNORMALITIES 1
ABNORMALITY 1
LESION_TYPE MASS SHAPE IRREGULAR MARGINS OBSCURED-ILL_DEFINED
ASSESSMENT 3
SUBTLETY 1
PATHOLOGY MALIGNANT
TOTAL_OUTLINES 1 
BOUNDARY
FILE: B_3403_1.RIGHT_CC.OVERLAY

TOTAL_ABNORMALITIES 1
ABNORMALITY 1
LESION_TYPE MASS SHAPE IRREGULAR MARGINS OBSCURED-ILL_DEFINED
ASSESSMENT 4
SUBTLETY 2
PATHOLOGY MALIGNANT
TOTAL_OUTLINES 1 
BOUNDARY