Digital Database for Screening Mammography

Volume: HtmlThumbnail Case: A-1597-1


A_1597_1.LEFT_MLO

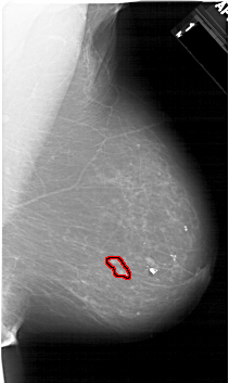
A_1597_1.RIGHT_MLO

A_1597_1.LEFT_CC

A_1597_1.RIGHT_CC

ics_version 1.0
filename A-1597-1
DATE_OF_STUDY 17 4 1996
PATIENT_AGE 67
FILM
FILM_TYPE REGULAR
DENSITY 2
DATE_DIGITIZED 4 1 1999
DIGITIZER HOWTEK 43.5
SEQUENCE
LEFT_CC LINES 6091 PIXELS_PER_LINE 3706 BITS_PER_PIXEL 12 RESOLUTION 43.5 NON_OVERLAY
LEFT_MLO LINES 6451 PIXELS_PER_LINE 3826 BITS_PER_PIXEL 12 RESOLUTION 43.5 NON_OVERLAY
RIGHT_CC LINES 6211 PIXELS_PER_LINE 3526 BITS_PER_PIXEL 12 RESOLUTION 43.5 OVERLAY
RIGHT_MLO LINES 6346 PIXELS_PER_LINE 3781 BITS_PER_PIXEL 12 RESOLUTION 43.5 OVERLAY

FILE: A_1597_1.RIGHT_MLO.OVERLAY

TOTAL_ABNORMALITIES 1
ABNORMALITY 1 
LESION_TYPE CALCIFICATION TYPE PLEOMORPHIC DISTRIBUTION LINEAR
ASSESSMENT 4 
SUBTLETY 2 
PATHOLOGY MALIGNANT
TOTAL_OUTLINES 1 
BOUNDARY
FILE: A_1597_1.RIGHT_CC.OVERLAY

TOTAL_ABNORMALITIES 1
ABNORMALITY 1 
LESION_TYPE CALCIFICATION TYPE PLEOMORPHIC DISTRIBUTION LINEAR
ASSESSMENT 4 
SUBTLETY 2 
PATHOLOGY MALIGNANT
TOTAL_OUTLINES 1 
BOUNDARY