Digital Database for Screening Mammography

Volume: HtmlThumbnail Case: A-1627-1


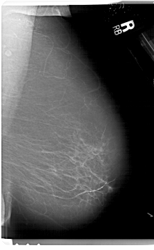
A_1627_1.LEFT_MLO

A_1627_1.RIGHT_MLO

A_1627_1.LEFT_CC

A_1627_1.RIGHT_CC

ics_version 1.0
filename A-1627-1
DATE_OF_STUDY 5 6 1998
PATIENT_AGE 72
FILM
FILM_TYPE REGULAR
DENSITY 1
DATE_DIGITIZED 1 2 1999
DIGITIZER HOWTEK 43.5
SEQUENCE
LEFT_CC LINES 6751 PIXELS_PER_LINE 3631 BITS_PER_PIXEL 12 RESOLUTION 43.5 OVERLAY
LEFT_MLO LINES 6871 PIXELS_PER_LINE 3961 BITS_PER_PIXEL 12 RESOLUTION 43.5 OVERLAY
RIGHT_CC LINES 6076 PIXELS_PER_LINE 3556 BITS_PER_PIXEL 12 RESOLUTION 43.5 NON_OVERLAY
RIGHT_MLO LINES 6871 PIXELS_PER_LINE 4231 BITS_PER_PIXEL 12 RESOLUTION 43.5 NON_OVERLAY

FILE: A_1627_1.LEFT_MLO.OVERLAY

TOTAL_ABNORMALITIES 1
ABNORMALITY 1 
LESION_TYPE MASS SHAPE IRREGULAR MARGINS ILL_DEFINED
ASSESSMENT 4 
SUBTLETY 2 
PATHOLOGY MALIGNANT
TOTAL_OUTLINES 1 
BOUNDARY
FILE: A_1627_1.LEFT_CC.OVERLAY

TOTAL_ABNORMALITIES 1
ABNORMALITY 1 
LESION_TYPE MASS SHAPE IRREGULAR MARGINS ILL_DEFINED
ASSESSMENT 4 
SUBTLETY 2 
PATHOLOGY MALIGNANT
TOTAL_OUTLINES 1 
BOUNDARY