Digital Database for Screening Mammography

Volume: HtmlThumbnail Case: A-1700-1


A_1700_1.LEFT_MLO

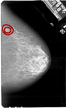
A_1700_1.RIGHT_MLO

A_1700_1.LEFT_CC

A_1700_1.RIGHT_CC

ics_version 1.0
filename A-1700-1
DATE_OF_STUDY 1 4 1998
PATIENT_AGE 77
FILM
FILM_TYPE REGULAR
DENSITY 3
DATE_DIGITIZED 22 2 1999
DIGITIZER HOWTEK 43.5
SEQUENCE
LEFT_CC LINES 5491 PIXELS_PER_LINE 3151 BITS_PER_PIXEL 12 RESOLUTION 43.5 NON_OVERLAY
LEFT_MLO LINES 5491 PIXELS_PER_LINE 3256 BITS_PER_PIXEL 12 RESOLUTION 43.5 NON_OVERLAY
RIGHT_CC LINES 5491 PIXELS_PER_LINE 3331 BITS_PER_PIXEL 12 RESOLUTION 43.5 OVERLAY
RIGHT_MLO LINES 5491 PIXELS_PER_LINE 3331 BITS_PER_PIXEL 12 RESOLUTION 43.5 OVERLAY

FILE: A_1700_1.RIGHT_MLO.OVERLAY

TOTAL_ABNORMALITIES 1
ABNORMALITY 1 
LESION_TYPE MASS SHAPE IRREGULAR MARGINS SPICULATED
ASSESSMENT 5 
SUBTLETY 1 
PATHOLOGY MALIGNANT
TOTAL_OUTLINES 1 
BOUNDARY
FILE: A_1700_1.RIGHT_CC.OVERLAY

TOTAL_ABNORMALITIES 1
ABNORMALITY 1 
LESION_TYPE MASS SHAPE IRREGULAR MARGINS SPICULATED
ASSESSMENT 5 
SUBTLETY 1 
PATHOLOGY MALIGNANT
TOTAL_OUTLINES 2 
BOUNDARY
	CORE