Digital Database for Screening Mammography

Volume: cancer_11 Case: A-1678-1


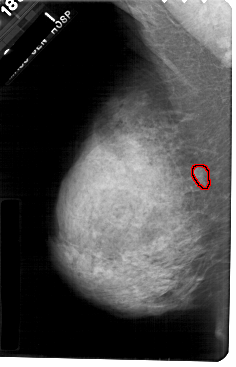
A_1678_1.LEFT_MLO

A_1678_1.RIGHT_MLO

A_1678_1.LEFT_CC

A_1678_1.RIGHT_CC

ics_version 1.0
filename A-1678-1
DATE_OF_STUDY 18 12 1997
PATIENT_AGE 47
FILM
FILM_TYPE REGULAR
DENSITY 4
DATE_DIGITIZED 19 2 1999
DIGITIZER HOWTEK 43.5
SEQUENCE
LEFT_CC LINES 5431 PIXELS_PER_LINE 3361 BITS_PER_PIXEL 12 RESOLUTION 43.5 OVERLAY
LEFT_MLO LINES 5491 PIXELS_PER_LINE 3526 BITS_PER_PIXEL 12 RESOLUTION 43.5 OVERLAY
RIGHT_CC LINES 5491 PIXELS_PER_LINE 3076 BITS_PER_PIXEL 12 RESOLUTION 43.5 NON_OVERLAY
RIGHT_MLO LINES 5491 PIXELS_PER_LINE 3346 BITS_PER_PIXEL 12 RESOLUTION 43.5 NON_OVERLAY

FILE: A_1678_1.LEFT_MLO.OVERLAY

TOTAL_ABNORMALITIES 1
ABNORMALITY 1 
LESION_TYPE MASS SHAPE ROUND MARGINS ILL_DEFINED
ASSESSMENT 4 
SUBTLETY 3 
PATHOLOGY MALIGNANT
TOTAL_OUTLINES 1 
BOUNDARY
FILE: A_1678_1.LEFT_CC.OVERLAY

TOTAL_ABNORMALITIES 1
ABNORMALITY 1 
LESION_TYPE MASS SHAPE ROUND MARGINS ILL_DEFINED
ASSESSMENT 4 
SUBTLETY 3 
PATHOLOGY MALIGNANT
TOTAL_OUTLINES 1 
BOUNDARY