Digital Database for Screening Mammography

Volume: cancer_15 Case: B-3514-1


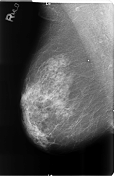
B_3514_1.RIGHT_MLO

B_3514_1.LEFT_MLO

B_3514_1.RIGHT_CC

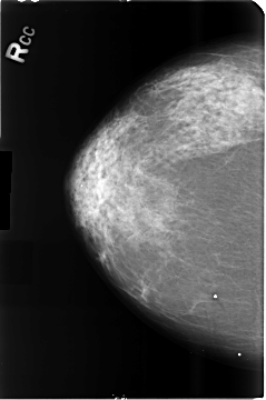
B_3514_1.LEFT_CC

ics_version 1.0
filename B-3514-1
DATE_OF_STUDY 2 3 98
PATIENT_AGE 83
FILM
FILM_TYPE REGULAR
DENSITY 2
DATE_DIGITIZED 18 6 1999
DIGITIZER LUMISYS LASER
SEQUENCE
LEFT_CC LINES 4736 PIXELS_PER_LINE 3128 BITS_PER_PIXEL 12 RESOLUTION 50 OVERLAY
LEFT_MLO LINES 4720 PIXELS_PER_LINE 3144 BITS_PER_PIXEL 12 RESOLUTION 50 OVERLAY
RIGHT_CC LINES 4680 PIXELS_PER_LINE 3104 BITS_PER_PIXEL 12 RESOLUTION 50 NON_OVERLAY
RIGHT_MLO LINES 4720 PIXELS_PER_LINE 3072 BITS_PER_PIXEL 12 RESOLUTION 50 NON_OVERLAY

FILE: B_3514_1.LEFT_MLO.OVERLAY

TOTAL_ABNORMALITIES 1
ABNORMALITY 1
LESION_TYPE MASS SHAPE ARCHITECTURAL_DISTORTION MARGINS ILL_DEFINED
ASSESSMENT 4
SUBTLETY 3
PATHOLOGY MALIGNANT
TOTAL_OUTLINES 1 
BOUNDARY
FILE: B_3514_1.LEFT_CC.OVERLAY

TOTAL_ABNORMALITIES 1
ABNORMALITY 1
LESION_TYPE MASS SHAPE ARCHITECTURAL_DISTORTION MARGINS ILL_DEFINED
ASSESSMENT 4
SUBTLETY 2
PATHOLOGY MALIGNANT
TOTAL_OUTLINES 1 
BOUNDARY