Digital Database for Screening Mammography

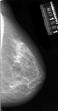
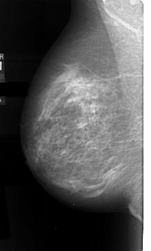
Volume: normal_01 Case: A-0045-1


A_0045_1.LEFT_MLO

A_0045_1.RIGHT_MLO

A_0045_1.LEFT_CC

A_0045_1.RIGHT_CC

ics_version 1.0
filename A-0045-1
DATE_OF_STUDY 15 5 1991
PATIENT_AGE 68
FILM
FILM_TYPE REGULAR
DENSITY 3
DATE_DIGITIZED 13 2 1996
DIGITIZER DBA 21

LEFT_CC LINES 5444 PIXELS_PER_LINE 2924 BITS_PER_PIXEL 16 RESOLUTION 42 NON_OVERLAY
LEFT_MLO LINES 5474 PIXELS_PER_LINE 3299 BITS_PER_PIXEL 16 RESOLUTION 42 NON_OVERLAY
RIGHT_CC LINES 5444 PIXELS_PER_LINE 2864 BITS_PER_PIXEL 16 RESOLUTION 42 NON_OVERLAY
RIGHT_MLO LINES 5459 PIXELS_PER_LINE 3119 BITS_PER_PIXEL 16 RESOLUTION 42 NON_OVERLAY