Digital Database for Screening Mammography

Volume: normal_01 Case: A-0053-1


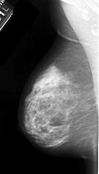
A_0053_1.LEFT_MLO

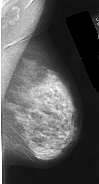
A_0053_1.RIGHT_MLO

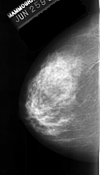
A_0053_1.LEFT_CC

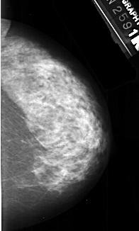
A_0053_1.RIGHT_CC

ics_version 1.0
filename A-0053-1
DATE_OF_STUDY 25 6 1991
PATIENT_AGE 40
FILM
FILM_TYPE REGULAR
DENSITY 3
DATE_DIGITIZED 15 2 1996
DIGITIZER DBA 21

LEFT_CC LINES 4889 PIXELS_PER_LINE 2804 BITS_PER_PIXEL 16 RESOLUTION 42 NON_OVERLAY
LEFT_MLO LINES 5369 PIXELS_PER_LINE 3059 BITS_PER_PIXEL 16 RESOLUTION 42 NON_OVERLAY
RIGHT_CC LINES 4559 PIXELS_PER_LINE 2744 BITS_PER_PIXEL 16 RESOLUTION 42 NON_OVERLAY
RIGHT_MLO LINES 5474 PIXELS_PER_LINE 2954 BITS_PER_PIXEL 16 RESOLUTION 42 NON_OVERLAY