Digital Database for Screening Mammography

Volume: normal_06 Case: A-0584-1


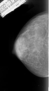
A_0584_1.LEFT_MLO

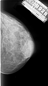
A_0584_1.RIGHT_MLO

A_0584_1.LEFT_CC

A_0584_1.RIGHT_CC

ics_version 1.0
filename A-0584-1
DATE_OF_STUDY 18 12 1992
PATIENT_AGE 68
FILM
FILM_TYPE REGULAR
DENSITY 4
DATE_DIGITIZED 6 1 1997
DIGITIZER DBA 21
SEQUENCE
LEFT_CC LINES 4696 PIXELS_PER_LINE 2551 BITS_PER_PIXEL 16 RESOLUTION 42 NON_OVERLAY
LEFT_MLO LINES 5521 PIXELS_PER_LINE 2506 BITS_PER_PIXEL 16 RESOLUTION 42 NON_OVERLAY
RIGHT_CC LINES 4516 PIXELS_PER_LINE 2521 BITS_PER_PIXEL 16 RESOLUTION 42 NON_OVERLAY
RIGHT_MLO LINES 5521 PIXELS_PER_LINE 2461 BITS_PER_PIXEL 16 RESOLUTION 42 NON_OVERLAY