Digital Database for Screening Mammography

Volume: normal_06 Case: A-0603-1


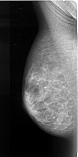
A_0603_1.LEFT_MLO

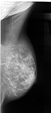
A_0603_1.RIGHT_MLO

A_0603_1.LEFT_CC

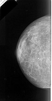
A_0603_1.RIGHT_CC

ics_version 1.0
filename A-0603-1
DATE_OF_STUDY 8 7 1992
PATIENT_AGE 76
FILM
FILM_TYPE REGULAR
DENSITY 1
DATE_DIGITIZED 9 1 1997
DIGITIZER DBA 21
SEQUENCE
LEFT_CC LINES 4561 PIXELS_PER_LINE 2341 BITS_PER_PIXEL 16 RESOLUTION 42 NON_OVERLAY
LEFT_MLO LINES 4831 PIXELS_PER_LINE 2386 BITS_PER_PIXEL 16 RESOLUTION 42 NON_OVERLAY
RIGHT_CC LINES 4531 PIXELS_PER_LINE 2326 BITS_PER_PIXEL 16 RESOLUTION 42 NON_OVERLAY
RIGHT_MLO LINES 5401 PIXELS_PER_LINE 2461 BITS_PER_PIXEL 16 RESOLUTION 42 NON_OVERLAY