Digital Database for Screening Mammography

Volume: normal_06 Case: A-0621-1


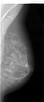
A_0621_1.LEFT_MLO

A_0621_1.RIGHT_MLO

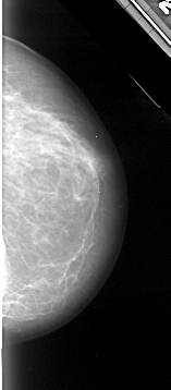
A_0621_1.LEFT_CC

A_0621_1.RIGHT_CC

ics_version 1.0
filename A-0621-1
DATE_OF_STUDY 29 5 1992
PATIENT_AGE 52
FILM
FILM_TYPE REGULAR
DENSITY 2
DATE_DIGITIZED 22 1 1997
DIGITIZER DBA 21
SEQUENCE
LEFT_CC LINES 4321 PIXELS_PER_LINE 2086 BITS_PER_PIXEL 16 RESOLUTION 42 NON_OVERLAY
LEFT_MLO LINES 5056 PIXELS_PER_LINE 2281 BITS_PER_PIXEL 16 RESOLUTION 42 NON_OVERLAY
RIGHT_CC LINES 4291 PIXELS_PER_LINE 1876 BITS_PER_PIXEL 16 RESOLUTION 42 NON_OVERLAY
RIGHT_MLO LINES 5026 PIXELS_PER_LINE 2176 BITS_PER_PIXEL 16 RESOLUTION 42 NON_OVERLAY