Digital Database for Screening Mammography

Volume: normal_06 Case: A-0623-1


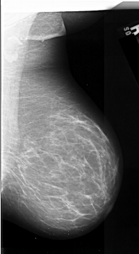
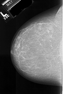
A_0623_1.LEFT_MLO

A_0623_1.RIGHT_MLO

A_0623_1.LEFT_CC

A_0623_1.RIGHT_CC

ics_version 1.0
filename A-0623-1
DATE_OF_STUDY 15 5 1992
PATIENT_AGE 44
FILM
FILM_TYPE REGULAR
DENSITY 1
DATE_DIGITIZED 23 1 1997
DIGITIZER DBA 21
SEQUENCE
LEFT_CC LINES 5566 PIXELS_PER_LINE 3736 BITS_PER_PIXEL 16 RESOLUTION 42 NON_OVERLAY
LEFT_MLO LINES 6496 PIXELS_PER_LINE 3646 BITS_PER_PIXEL 16 RESOLUTION 42 NON_OVERLAY
RIGHT_CC LINES 6181 PIXELS_PER_LINE 3961 BITS_PER_PIXEL 16 RESOLUTION 42 NON_OVERLAY
RIGHT_MLO LINES 6916 PIXELS_PER_LINE 3796 BITS_PER_PIXEL 16 RESOLUTION 42 NON_OVERLAY