Digital Database for Screening Mammography

Volume: normal_11 Case: A-2016-1


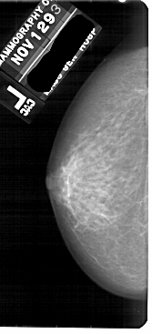
A_2016_1.LEFT_MLO

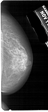
A_2016_1.RIGHT_MLO

A_2016_1.LEFT_CC

A_2016_1.RIGHT_CC

ics_version 1.0
filename A-2016-1
DATE_OF_STUDY 12 11 1993
PATIENT_AGE 56
FILM
FILM_TYPE REGULAR
DENSITY 3
DATE_DIGITIZED 6 8 1999
DIGITIZER HOWTEK 43.5
SEQUENCE
LEFT_CC LINES 5491 PIXELS_PER_LINE 2491 BITS_PER_PIXEL 12 RESOLUTION 43.5 NON_OVERLAY
LEFT_MLO LINES 5491 PIXELS_PER_LINE 2686 BITS_PER_PIXEL 12 RESOLUTION 43.5 NON_OVERLAY
RIGHT_CC LINES 5461 PIXELS_PER_LINE 2371 BITS_PER_PIXEL 12 RESOLUTION 43.5 NON_OVERLAY
RIGHT_MLO LINES 5491 PIXELS_PER_LINE 2566 BITS_PER_PIXEL 12 RESOLUTION 43.5 NON_OVERLAY