Digital Database for Screening Mammography

Volume: cancer_03 Case: A-1027-1


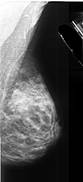
A_1027_1.LEFT_MLO

A_1027_1.RIGHT_MLO

A_1027_1.LEFT_CC

A_1027_1.RIGHT_CC

ics_version 1.0
filename A-1027-1
DATE_OF_STUDY 25 1 1993
PATIENT_AGE 48
FILM
FILM_TYPE REGULAR
DENSITY 4
DATE_DIGITIZED 7 1 1998
DIGITIZER DBA 21
SEQUENCE
LEFT_CC LINES 4801 PIXELS_PER_LINE 2746 BITS_PER_PIXEL 16 RESOLUTION 42 OVERLAY
LEFT_MLO LINES 5281 PIXELS_PER_LINE 2521 BITS_PER_PIXEL 16 RESOLUTION 42 OVERLAY
RIGHT_CC LINES 4576 PIXELS_PER_LINE 2326 BITS_PER_PIXEL 16 RESOLUTION 42 NON_OVERLAY
RIGHT_MLO LINES 5476 PIXELS_PER_LINE 2506 BITS_PER_PIXEL 16 RESOLUTION 42 NON_OVERLAY

FILE: A_1027_1.LEFT_MLO.OVERLAY

TOTAL_ABNORMALITIES 1
ABNORMALITY 1 
LESION_TYPE MASS SHAPE LOBULATED MARGINS SPICULATED
ASSESSMENT 5 
SUBTLETY 4 
PATHOLOGY MALIGNANT
TOTAL_OUTLINES 2 
BOUNDARY
	CORE
FILE: A_1027_1.LEFT_CC.OVERLAY

TOTAL_ABNORMALITIES 1
ABNORMALITY 1 
LESION_TYPE MASS SHAPE LOBULATED MARGINS SPICULATED
ASSESSMENT 5 
SUBTLETY 4 
PATHOLOGY MALIGNANT
TOTAL_OUTLINES 1 
BOUNDARY