Digital Database for Screening Mammography

Volume: cancer_03 Case: A-1078-1


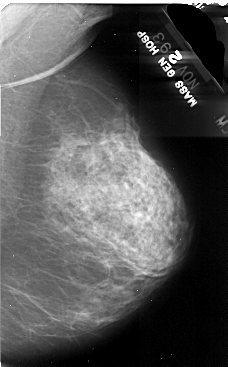
A_1078_1.LEFT_MLO

A_1078_1.RIGHT_MLO

A_1078_1.LEFT_CC

A_1078_1.RIGHT_CC

ics_version 1.0
filename A-1078-1
DATE_OF_STUDY 2 11 1993
PATIENT_AGE 56
FILM
FILM_TYPE REGULAR
DENSITY 3
DATE_DIGITIZED 9 2 1998
DIGITIZER DBA 21
SEQUENCE
LEFT_CC LINES 5461 PIXELS_PER_LINE 3211 BITS_PER_PIXEL 16 RESOLUTION 42 OVERLAY
LEFT_MLO LINES 5491 PIXELS_PER_LINE 3421 BITS_PER_PIXEL 16 RESOLUTION 42 OVERLAY
RIGHT_CC LINES 5101 PIXELS_PER_LINE 3136 BITS_PER_PIXEL 16 RESOLUTION 42 NON_OVERLAY
RIGHT_MLO LINES 5491 PIXELS_PER_LINE 3406 BITS_PER_PIXEL 16 RESOLUTION 42 NON_OVERLAY

FILE: A_1078_1.LEFT_MLO.OVERLAY

TOTAL_ABNORMALITIES 1
ABNORMALITY 1 
LESION_TYPE MASS SHAPE ARCHITECTURAL_DISTORTION MARGINS SPICULATED
ASSESSMENT 5 
SUBTLETY 2 
PATHOLOGY MALIGNANT
TOTAL_OUTLINES 1 
BOUNDARY
FILE: A_1078_1.LEFT_CC.OVERLAY

TOTAL_ABNORMALITIES 1
ABNORMALITY 1 
LESION_TYPE MASS SHAPE ARCHITECTURAL_DISTORTION MARGINS SPICULATED
ASSESSMENT 5 
SUBTLETY 2 
PATHOLOGY MALIGNANT
TOTAL_OUTLINES 2 
BOUNDARY
	CORE