Digital Database for Screening Mammography

Volume: cancer_05 Case: C-0199-1


C_0199_1.RIGHT_MLO

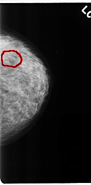
C_0199_1.LEFT_MLO

C_0199_1.RIGHT_CC

C_0199_1.LEFT_CC

ics_version 1.0
filename C-0199-1
DATE_OF_STUDY 9 10 1997
PATIENT_AGE 42
FILM
FILM_TYPE REGULAR
DENSITY 2
DATE_DIGITIZED 9 4 1998
DIGITIZER LUMISYS LASER
SEQUENCE
LEFT_CC LINES 4696 PIXELS_PER_LINE 2312 BITS_PER_PIXEL 12 RESOLUTION 50 OVERLAY
LEFT_MLO LINES 4704 PIXELS_PER_LINE 2536 BITS_PER_PIXEL 12 RESOLUTION 50 OVERLAY
RIGHT_CC LINES 4688 PIXELS_PER_LINE 2416 BITS_PER_PIXEL 12 RESOLUTION 50 NON_OVERLAY
RIGHT_MLO LINES 4688 PIXELS_PER_LINE 2560 BITS_PER_PIXEL 12 RESOLUTION 50 NON_OVERLAY

FILE: C_0199_1.LEFT_MLO.OVERLAY

TOTAL_ABNORMALITIES 1
ABNORMALITY 1
LESION_TYPE CALCIFICATION TYPE PLEOMORPHIC DISTRIBUTION CLUSTERED
ASSESSMENT 5
SUBTLETY 4
PATHOLOGY MALIGNANT
TOTAL_OUTLINES 1 
BOUNDARY
FILE: C_0199_1.LEFT_CC.OVERLAY

TOTAL_ABNORMALITIES 1
ABNORMALITY 1
LESION_TYPE CALCIFICATION TYPE PLEOMORPHIC DISTRIBUTION CLUSTERED
ASSESSMENT 5
SUBTLETY 4
PATHOLOGY MALIGNANT
TOTAL_OUTLINES 1 
BOUNDARY