Digital Database for Screening Mammography

Volume: cancer_06 Case: A-1202-1


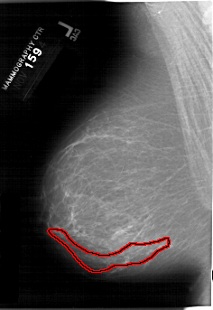
A_1202_1.LEFT_MLO

A_1202_1.RIGHT_MLO

A_1202_1.LEFT_CC

A_1202_1.RIGHT_CC

ics_version 1.0
filename A-1202-1
DATE_OF_STUDY 15 11 1994
PATIENT_AGE 72
FILM
FILM_TYPE REGULAR
DENSITY 3
DATE_DIGITIZED 16 7 1998
DIGITIZER HOWTEK 43.5
SEQUENCE
LEFT_CC LINES 6871 PIXELS_PER_LINE 4261 BITS_PER_PIXEL 12 RESOLUTION 43.5 OVERLAY
LEFT_MLO LINES 6511 PIXELS_PER_LINE 4471 BITS_PER_PIXEL 12 RESOLUTION 43.5 OVERLAY
RIGHT_CC LINES 6691 PIXELS_PER_LINE 4141 BITS_PER_PIXEL 12 RESOLUTION 43.5 NON_OVERLAY
RIGHT_MLO LINES 6661 PIXELS_PER_LINE 4321 BITS_PER_PIXEL 12 RESOLUTION 43.5 NON_OVERLAY

FILE: A_1202_1.LEFT_MLO.OVERLAY

TOTAL_ABNORMALITIES 1
ABNORMALITY 1 
LESION_TYPE CALCIFICATION TYPE PLEOMORPHIC DISTRIBUTION SEGMENTAL
ASSESSMENT 5 
SUBTLETY 3 
PATHOLOGY MALIGNANT
TOTAL_OUTLINES 1 
BOUNDARY
FILE: A_1202_1.LEFT_CC.OVERLAY

TOTAL_ABNORMALITIES 1
ABNORMALITY 1 
LESION_TYPE CALCIFICATION TYPE PLEOMORPHIC DISTRIBUTION SEGMENTAL
ASSESSMENT 5 
SUBTLETY 3 
PATHOLOGY MALIGNANT
TOTAL_OUTLINES 1 
BOUNDARY