Digital Database for Screening Mammography

Volume: cancer_11 Case: A-1676-1


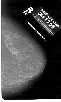
A_1676_1.LEFT_MLO

A_1676_1.RIGHT_MLO

A_1676_1.LEFT_CC

A_1676_1.RIGHT_CC

ics_version 1.0
filename A-1676-1
DATE_OF_STUDY 13 9 1995
PATIENT_AGE 68
FILM
FILM_TYPE REGULAR
DENSITY 2
DATE_DIGITIZED 18 2 1999
DIGITIZER HOWTEK 43.5
SEQUENCE
LEFT_CC LINES 5311 PIXELS_PER_LINE 3256 BITS_PER_PIXEL 12 RESOLUTION 43.5 OVERLAY
LEFT_MLO LINES 5491 PIXELS_PER_LINE 3691 BITS_PER_PIXEL 12 RESOLUTION 43.5 OVERLAY
RIGHT_CC LINES 5236 PIXELS_PER_LINE 3106 BITS_PER_PIXEL 12 RESOLUTION 43.5 NON_OVERLAY
RIGHT_MLO LINES 5491 PIXELS_PER_LINE 3436 BITS_PER_PIXEL 12 RESOLUTION 43.5 NON_OVERLAY

FILE: A_1676_1.LEFT_MLO.OVERLAY

TOTAL_ABNORMALITIES 1
ABNORMALITY 1 
LESION_TYPE MASS SHAPE OVAL MARGINS OBSCURED
ASSESSMENT 4 
SUBTLETY 3 
PATHOLOGY MALIGNANT
TOTAL_OUTLINES 1 
BOUNDARY
FILE: A_1676_1.LEFT_CC.OVERLAY

TOTAL_ABNORMALITIES 1
ABNORMALITY 1 
LESION_TYPE MASS SHAPE OVAL MARGINS OBSCURED
ASSESSMENT 4 
SUBTLETY 3 
PATHOLOGY MALIGNANT
TOTAL_OUTLINES 1 
BOUNDARY