Digital Database for Screening Mammography

Volume: cancer_12 Case: D-4158-1


D_4158_1.RIGHT_MLO

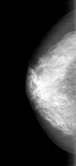
D_4158_1.LEFT_MLO

D_4158_1.RIGHT_CC

D_4158_1.LEFT_CC

ics_version 1.0
filename D-4158-1
DATE_OF_STUDY 30 8 1996
PATIENT_AGE 64
FILM
FILM_TYPE REGULAR
DENSITY 4
DATE_DIGITIZED 2 6 1999
DIGITIZER HOWTEK 43.5
SEQUENCE
LEFT_CC LINES 5281 PIXELS_PER_LINE 2341 BITS_PER_PIXEL 12 RESOLUTION 43.5 OVERLAY
LEFT_MLO LINES 5371 PIXELS_PER_LINE 2641 BITS_PER_PIXEL 12 RESOLUTION 43.5 OVERLAY
RIGHT_CC LINES 4981 PIXELS_PER_LINE 2281 BITS_PER_PIXEL 12 RESOLUTION 43.5 NON_OVERLAY
RIGHT_MLO LINES 5281 PIXELS_PER_LINE 2176 BITS_PER_PIXEL 12 RESOLUTION 43.5 NON_OVERLAY

FILE: D_4158_1.LEFT_MLO.OVERLAY

TOTAL_ABNORMALITIES 1
ABNORMALITY 1 
LESION_TYPE CALCIFICATION TYPE PLEOMORPHIC DISTRIBUTION CLUSTERED
ASSESSMENT 0 
SUBTLETY 3 
PATHOLOGY MALIGNANT
TOTAL_OUTLINES 1 
BOUNDARY
FILE: D_4158_1.LEFT_CC.OVERLAY

TOTAL_ABNORMALITIES 1
ABNORMALITY 1 
LESION_TYPE CALCIFICATION TYPE PLEOMORPHIC DISTRIBUTION CLUSTERED
ASSESSMENT 0 
SUBTLETY 3 
PATHOLOGY MALIGNANT
TOTAL_OUTLINES 1 
BOUNDARY