Digital Database for Screening Mammography

Volume: cancer_14 Case: A-1178-1


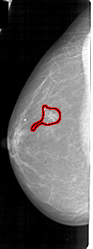
A_1178_1.LEFT_MLO

A_1178_1.RIGHT_MLO

A_1178_1.LEFT_CC

A_1178_1.RIGHT_CC

ics_version 1.0
filename A-1178-1
DATE_OF_STUDY 19 4 1994
PATIENT_AGE 79
FILM
FILM_TYPE REGULAR
DENSITY 2
DATE_DIGITIZED 7 7 1998
DIGITIZER HOWTEK 43.5
SEQUENCE
LEFT_CC LINES 5236 PIXELS_PER_LINE 1951 BITS_PER_PIXEL 12 RESOLUTION 43.5 OVERLAY
LEFT_MLO LINES 5236 PIXELS_PER_LINE 2476 BITS_PER_PIXEL 12 RESOLUTION 43.5 OVERLAY
RIGHT_CC LINES 5026 PIXELS_PER_LINE 2041 BITS_PER_PIXEL 12 RESOLUTION 43.5 NON_OVERLAY
RIGHT_MLO LINES 5341 PIXELS_PER_LINE 2131 BITS_PER_PIXEL 12 RESOLUTION 43.5 NON_OVERLAY

FILE: A_1178_1.LEFT_MLO.OVERLAY

TOTAL_ABNORMALITIES 1
ABNORMALITY 1 
LESION_TYPE CALCIFICATION TYPE FINE_LINEAR_BRANCHING DISTRIBUTION SEGMENTAL
ASSESSMENT 5 
SUBTLETY 5 
PATHOLOGY MALIGNANT
TOTAL_OUTLINES 1 
BOUNDARY
FILE: A_1178_1.LEFT_CC.OVERLAY

TOTAL_ABNORMALITIES 1
ABNORMALITY 1 
LESION_TYPE CALCIFICATION TYPE FINE_LINEAR_BRANCHING DISTRIBUTION SEGMENTAL
ASSESSMENT 5 
SUBTLETY 5 
PATHOLOGY MALIGNANT
TOTAL_OUTLINES 1 
BOUNDARY