Digital Database for Screening Mammography

Volume: cancer_14 Case: A-1848-1


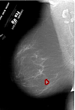
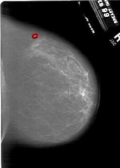
A_1848_1.LEFT_MLO

A_1848_1.RIGHT_MLO

A_1848_1.LEFT_CC

A_1848_1.RIGHT_CC

ics_version 1.0
filename A-1848-1
DATE_OF_STUDY 22 2 1999
PATIENT_AGE 68
FILM
FILM_TYPE REGULAR
DENSITY 2
DATE_DIGITIZED 20 5 1999
DIGITIZER HOWTEK 43.5
SEQUENCE
LEFT_CC LINES 6766 PIXELS_PER_LINE 4531 BITS_PER_PIXEL 12 RESOLUTION 43.5 OVERLAY
LEFT_MLO LINES 6436 PIXELS_PER_LINE 4396 BITS_PER_PIXEL 12 RESOLUTION 43.5 OVERLAY
RIGHT_CC LINES 6271 PIXELS_PER_LINE 4486 BITS_PER_PIXEL 12 RESOLUTION 43.5 OVERLAY
RIGHT_MLO LINES 5956 PIXELS_PER_LINE 4336 BITS_PER_PIXEL 12 RESOLUTION 43.5 OVERLAY

FILE: A_1848_1.LEFT_MLO.OVERLAY

TOTAL_ABNORMALITIES 1
ABNORMALITY 1 
LESION_TYPE MASS SHAPE IRREGULAR MARGINS ILL_DEFINED
ASSESSMENT 4 
SUBTLETY 4 
PATHOLOGY MALIGNANT
TOTAL_OUTLINES 1 
BOUNDARY
FILE: A_1848_1.RIGHT_MLO.OVERLAY

TOTAL_ABNORMALITIES 1
ABNORMALITY 1 
LESION_TYPE MASS SHAPE IRREGULAR MARGINS ILL_DEFINED
ASSESSMENT 4 
SUBTLETY 2 
PATHOLOGY MALIGNANT
TOTAL_OUTLINES 1 
BOUNDARY
FILE: A_1848_1.LEFT_CC.OVERLAY

TOTAL_ABNORMALITIES 1
ABNORMALITY 1 
LESION_TYPE MASS SHAPE IRREGULAR MARGINS ILL_DEFINED
ASSESSMENT 4 
SUBTLETY 4 
PATHOLOGY MALIGNANT
TOTAL_OUTLINES 1 
BOUNDARY
FILE: A_1848_1.RIGHT_CC.OVERLAY

TOTAL_ABNORMALITIES 1
ABNORMALITY 1 
LESION_TYPE MASS SHAPE IRREGULAR MARGINS ILL_DEFINED
ASSESSMENT 4 
SUBTLETY 2 
PATHOLOGY MALIGNANT
TOTAL_OUTLINES 1 
BOUNDARY