Digital Database for Screening Mammography

Volume: cancer_14 Case: A-1894-1


A_1894_1.LEFT_MLO

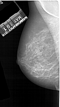
A_1894_1.RIGHT_MLO

A_1894_1.LEFT_CC

A_1894_1.RIGHT_CC

ics_version 1.0
filename A-1894-1
DATE_OF_STUDY 7 5 1991
PATIENT_AGE 49
FILM
FILM_TYPE REGULAR
DENSITY 3
DATE_DIGITIZED 18 11 1998
DIGITIZER HOWTEK 43.5
SEQUENCE
LEFT_CC LINES 5161 PIXELS_PER_LINE 2791 BITS_PER_PIXEL 12 RESOLUTION 43.5 NON_OVERLAY
LEFT_MLO LINES 5191 PIXELS_PER_LINE 2941 BITS_PER_PIXEL 12 RESOLUTION 43.5 NON_OVERLAY
RIGHT_CC LINES 5431 PIXELS_PER_LINE 2596 BITS_PER_PIXEL 12 RESOLUTION 43.5 OVERLAY
RIGHT_MLO LINES 5296 PIXELS_PER_LINE 2926 BITS_PER_PIXEL 12 RESOLUTION 43.5 OVERLAY

FILE: A_1894_1.RIGHT_MLO.OVERLAY

TOTAL_ABNORMALITIES 1
ABNORMALITY 1 
LESION_TYPE CALCIFICATION TYPE PLEOMORPHIC DISTRIBUTION CLUSTERED
ASSESSMENT 4 
SUBTLETY 2 
PATHOLOGY MALIGNANT
TOTAL_OUTLINES 1 
BOUNDARY
FILE: A_1894_1.RIGHT_CC.OVERLAY

TOTAL_ABNORMALITIES 1
ABNORMALITY 1 
LESION_TYPE CALCIFICATION TYPE PLEOMORPHIC DISTRIBUTION CLUSTERED
ASSESSMENT 4 
SUBTLETY 2 
PATHOLOGY MALIGNANT
TOTAL_OUTLINES 1 
BOUNDARY