Digital Database for Screening Mammography

Volume: cancer_14 Case: A-1897-1


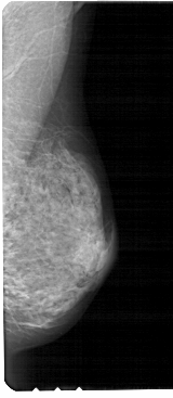
A_1897_1.LEFT_MLO

A_1897_1.RIGHT_MLO

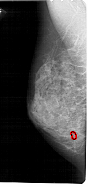
A_1897_1.LEFT_CC

A_1897_1.RIGHT_CC

ics_version 1.0
filename A-1897-1
DATE_OF_STUDY 19 10 1994
PATIENT_AGE 56
FILM
FILM_TYPE REGULAR
DENSITY 4
DATE_DIGITIZED 17 2 1999
DIGITIZER HOWTEK 43.5
SEQUENCE
LEFT_CC LINES 5071 PIXELS_PER_LINE 2311 BITS_PER_PIXEL 12 RESOLUTION 43.5 OVERLAY
LEFT_MLO LINES 5491 PIXELS_PER_LINE 2596 BITS_PER_PIXEL 12 RESOLUTION 43.5 OVERLAY
RIGHT_CC LINES 4906 PIXELS_PER_LINE 2236 BITS_PER_PIXEL 12 RESOLUTION 43.5 NON_OVERLAY
RIGHT_MLO LINES 5491 PIXELS_PER_LINE 2386 BITS_PER_PIXEL 12 RESOLUTION 43.5 NON_OVERLAY

FILE: A_1897_1.LEFT_MLO.OVERLAY

TOTAL_ABNORMALITIES 1
ABNORMALITY 1 
LESION_TYPE CALCIFICATION TYPE PLEOMORPHIC DISTRIBUTION CLUSTERED
ASSESSMENT 4 
SUBTLETY 3 
PATHOLOGY MALIGNANT
TOTAL_OUTLINES 1 
BOUNDARY
FILE: A_1897_1.LEFT_CC.OVERLAY

TOTAL_ABNORMALITIES 1
ABNORMALITY 1 
LESION_TYPE CALCIFICATION TYPE PLEOMORPHIC DISTRIBUTION CLUSTERED
ASSESSMENT 4 
SUBTLETY 3 
PATHOLOGY MALIGNANT
TOTAL_OUTLINES 1 
BOUNDARY