Digital Database for Screening Mammography

Volume: cancer_14 Case: A-1904-1


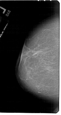
A_1904_1.LEFT_MLO

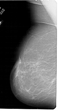
A_1904_1.RIGHT_MLO

A_1904_1.LEFT_CC

A_1904_1.RIGHT_CC

ics_version 1.0
filename A-1904-1
DATE_OF_STUDY 20 2 1997
PATIENT_AGE 66
FILM
FILM_TYPE REGULAR
DENSITY 2
DATE_DIGITIZED 17 2 1999
DIGITIZER HOWTEK 43.5
SEQUENCE
LEFT_CC LINES 5491 PIXELS_PER_LINE 2941 BITS_PER_PIXEL 12 RESOLUTION 43.5 NON_OVERLAY
LEFT_MLO LINES 5491 PIXELS_PER_LINE 2866 BITS_PER_PIXEL 12 RESOLUTION 43.5 NON_OVERLAY
RIGHT_CC LINES 5491 PIXELS_PER_LINE 2806 BITS_PER_PIXEL 12 RESOLUTION 43.5 OVERLAY
RIGHT_MLO LINES 5491 PIXELS_PER_LINE 3436 BITS_PER_PIXEL 12 RESOLUTION 43.5 OVERLAY

FILE: A_1904_1.RIGHT_MLO.OVERLAY

TOTAL_ABNORMALITIES 1
ABNORMALITY 1 
LESION_TYPE MASS SHAPE LOBULATED MARGINS OBSCURED
ASSESSMENT 4 
SUBTLETY 2 
PATHOLOGY MALIGNANT
TOTAL_OUTLINES 1 
BOUNDARY
FILE: A_1904_1.RIGHT_CC.OVERLAY

TOTAL_ABNORMALITIES 1
ABNORMALITY 1 
LESION_TYPE MASS SHAPE LOBULATED MARGINS OBSCURED
ASSESSMENT 4 
SUBTLETY 2 
PATHOLOGY MALIGNANT
TOTAL_OUTLINES 1 
BOUNDARY