Digital Database for Screening Mammography

Volume: cancer_14 Case: A-1932-1


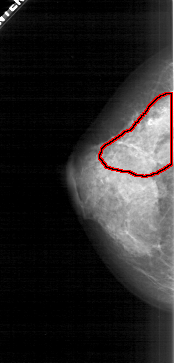
A_1932_1.LEFT_MLO

A_1932_1.RIGHT_MLO

A_1932_1.LEFT_CC

A_1932_1.RIGHT_CC

ics_version 1.0
filename A-1932-1
DATE_OF_STUDY 22 9 1995
PATIENT_AGE 37
FILM
FILM_TYPE REGULAR
DENSITY 4
DATE_DIGITIZED 19 2 1999
DIGITIZER HOWTEK 43.5
SEQUENCE
LEFT_CC LINES 4351 PIXELS_PER_LINE 2086 BITS_PER_PIXEL 12 RESOLUTION 43.5 OVERLAY
LEFT_MLO LINES 5491 PIXELS_PER_LINE 2491 BITS_PER_PIXEL 12 RESOLUTION 43.5 OVERLAY
RIGHT_CC LINES 4246 PIXELS_PER_LINE 2071 BITS_PER_PIXEL 12 RESOLUTION 43.5 NON_OVERLAY
RIGHT_MLO LINES 4741 PIXELS_PER_LINE 2071 BITS_PER_PIXEL 12 RESOLUTION 43.5 NON_OVERLAY

FILE: A_1932_1.LEFT_MLO.OVERLAY

TOTAL_ABNORMALITIES 1
ABNORMALITY 1 
LESION_TYPE CALCIFICATION TYPE PLEOMORPHIC DISTRIBUTION SEGMENTAL
ASSESSMENT 5 
SUBTLETY 4 
PATHOLOGY MALIGNANT
TOTAL_OUTLINES 1 
BOUNDARY
FILE: A_1932_1.LEFT_CC.OVERLAY

TOTAL_ABNORMALITIES 1
ABNORMALITY 1 
LESION_TYPE CALCIFICATION TYPE PLEOMORPHIC DISTRIBUTION SEGMENTAL
ASSESSMENT 5 
SUBTLETY 4 
PATHOLOGY MALIGNANT
TOTAL_OUTLINES 1 
BOUNDARY