Digital Database for Screening Mammography

Volume: cancer_14 Case: A-1985-1


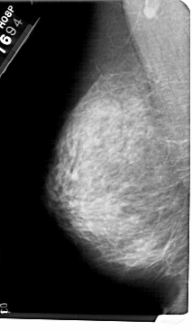
A_1985_1.LEFT_MLO

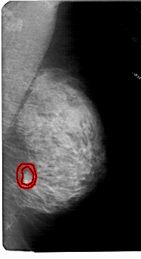
A_1985_1.RIGHT_MLO

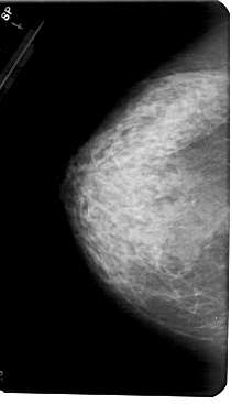
A_1985_1.LEFT_CC

A_1985_1.RIGHT_CC

ics_version 1.0
filename A-1985-1
DATE_OF_STUDY 6 2 1994
PATIENT_AGE 41
FILM
FILM_TYPE REGULAR
DENSITY 4
DATE_DIGITIZED 11 6 1998
DIGITIZER HOWTEK 43.5
SEQUENCE
LEFT_CC LINES 5491 PIXELS_PER_LINE 3151 BITS_PER_PIXEL 12 RESOLUTION 43.5 NON_OVERLAY
LEFT_MLO LINES 5491 PIXELS_PER_LINE 3181 BITS_PER_PIXEL 12 RESOLUTION 43.5 NON_OVERLAY
RIGHT_CC LINES 5371 PIXELS_PER_LINE 2731 BITS_PER_PIXEL 12 RESOLUTION 43.5 OVERLAY
RIGHT_MLO LINES 5491 PIXELS_PER_LINE 3001 BITS_PER_PIXEL 12 RESOLUTION 43.5 OVERLAY

FILE: A_1985_1.RIGHT_MLO.OVERLAY

TOTAL_ABNORMALITIES 1
ABNORMALITY 1 
LESION_TYPE MASS SHAPE IRREGULAR MARGINS SPICULATED
ASSESSMENT 5 
SUBTLETY 2 
PATHOLOGY MALIGNANT
TOTAL_OUTLINES 2 
BOUNDARY
	CORE
FILE: A_1985_1.RIGHT_CC.OVERLAY

TOTAL_ABNORMALITIES 1
ABNORMALITY 1 
LESION_TYPE MASS SHAPE IRREGULAR MARGINS SPICULATED
ASSESSMENT 5 
SUBTLETY 2 
PATHOLOGY MALIGNANT
TOTAL_OUTLINES 2 
BOUNDARY
	CORE