Digital Database for Screening Mammography

Volume: cancer_14 Case: A-1999-1


A_1999_1.LEFT_MLO

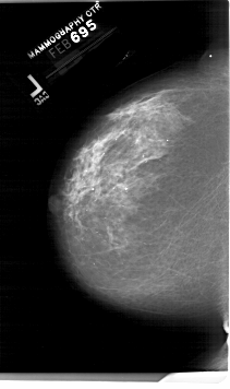
A_1999_1.RIGHT_MLO

A_1999_1.LEFT_CC

A_1999_1.RIGHT_CC

ics_version 1.0
filename A-1999-1
DATE_OF_STUDY 6 2 1995
PATIENT_AGE 81
FILM
FILM_TYPE REGULAR
DENSITY 2
DATE_DIGITIZED 16 6 1998
DIGITIZER HOWTEK 43.5
SEQUENCE
LEFT_CC LINES 6751 PIXELS_PER_LINE 4006 BITS_PER_PIXEL 12 RESOLUTION 43.5 NON_OVERLAY
LEFT_MLO LINES 6346 PIXELS_PER_LINE 4246 BITS_PER_PIXEL 12 RESOLUTION 43.5 NON_OVERLAY
RIGHT_CC LINES 6871 PIXELS_PER_LINE 4336 BITS_PER_PIXEL 12 RESOLUTION 43.5 OVERLAY
RIGHT_MLO LINES 6196 PIXELS_PER_LINE 4306 BITS_PER_PIXEL 12 RESOLUTION 43.5 OVERLAY

FILE: A_1999_1.RIGHT_MLO.OVERLAY

TOTAL_ABNORMALITIES 1
ABNORMALITY 1 
LESION_TYPE MASS SHAPE IRREGULAR MARGINS SPICULATED
ASSESSMENT 5 
SUBTLETY 3 
PATHOLOGY MALIGNANT
TOTAL_OUTLINES 2 
BOUNDARY
	CORE
FILE: A_1999_1.RIGHT_CC.OVERLAY

TOTAL_ABNORMALITIES 1
ABNORMALITY 1 
LESION_TYPE MASS SHAPE IRREGULAR MARGINS SPICULATED
ASSESSMENT 5 
SUBTLETY 3 
PATHOLOGY MALIGNANT
TOTAL_OUTLINES 2 
BOUNDARY
	CORE